Почему выпадает пломба?
Пломбировка зубов является одной из самых распространенных стоматологической процедурой. С ней сталкивался практически каждый.
Пломбировка зубов является одной из самых распространенных стоматологической процедурой. С ней сталкивался практически каждый.
Ухаживать за детскими зубками необходимо также тщательно, как и за коренными зубами. Ведь здоровье постоянных зубов напрямую связано со здоровьем постоянных зубов.
Металлокерамика применяют для протезирования зубов. Использование этого материала очень популярно и применяется чаще, чем какие-либо другие материалы для протезирования.
Наркоз в стоматологи не является редкостью, однако его применяют только при лечении серьезных и тяжелых случаях развития стоматологических заболеваний.
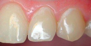
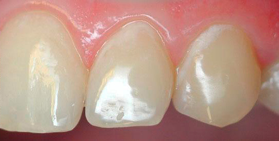
Белое пятно на зубах зачастую свидетельствует о начальной стадии развития кариеса.
Появление белого пятна на зубе, как правило, является первым признаком развития кариеса.
Глубокий кариес является последней и самой опасной стадией развития данного заболевания. Такой кариес тяжело поддается лечению.
Кариес не щадит зубы ни детей, ни взрослых. Самой последней и опасной стадией этого заболевания является глубокий кариес.
Гингивит является самым распространенным заболеванием пародонта. При развитии гингивита происходит возникновение воспалительного процесса, кровоточивости, покраснение слизистой десен.
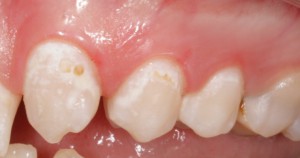
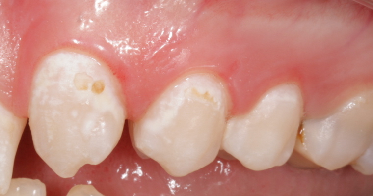
К сожалению, не всегда кариес оставляет ваши зубы после лечения, иногда происходит повторное возобновление кариозного процесса. Такое явление называют вторичным кариесом.