Архивы за месяц "Апрель 2015"

Лейкоплакия и причины ее возникновения

Лейкоплакия и причины ее возникновения

Лейкоплакия – заболевание, возникающее на фоне постоянного раздражения слизистой оболочки ротовой полости. Лейкоплакию можно назвать защитной реакцией организма на раздражитель. Данная болезнь часто возникает перед началом развития рака ротовой полости.

Read More →

Желтый налет на языке

Желтый налет на языке

Наш язык можно назвать индикатором здоровья. Когда в организме нет никаких нарушений, то язык имеет розовый здоровый цвет, но если нарушения происходят, на языке возникает налет того или иного цвета. Это свидетельствует о различных заболеваниях.

Read More →

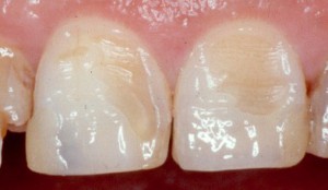
Флюороз зубов

Флюороз зубов

Флюорозом называют заболевание зубов и костей пациента, спровоцированное повышенным содержанием фтора в организме. Заболевание не редкость в тех районах, где в воде высокое содержание фтора.

Read More →

Временные протезы. Зачем они нужны?

протезирование зубов

После того как вам удалили зуб его следует заменить протезом для восстановления жевательной функции и внешнего вида. Само протезирование занимает определенное время и на этот период врач порекомендует установить временный протез.

Read More →

Когда не следует делать отбеливание зубов

отбеливание

Здоровые красивые зубы делают нашу улыбку привлекательной. Улыбаясь при разговоре мы располагаем людей к общению и вызываем доверие. Но после частого употребления кофе или вина, после курения или под воздействием других факторов наши зубы теряют свой первоначальный цвет.

Read More →