Пародонтоз. Осложнения заболевания
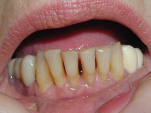
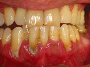
Пародонтоз – серьезное заболевание, при котором происходит поражение тканей пародонта. Развиваясь, заболевание ведет к расшатыванию и выпадению зубов.
Пародонтоз – серьезное заболевание, при котором происходит поражение тканей пародонта. Развиваясь, заболевание ведет к расшатыванию и выпадению зубов.
Пародонтозом называют системное заболевание околозубных тканей. На начальной стадии пародонтоз можно спутать с пародонтитом или гингивитом. Причиной возникновения данного заболевания являются болезнетворные бактерии, обитающие в зубном камне и зубном налете.
Ученые из Европейской ассоциации стоматологов, проведя ряд исследований, что не все овощи полезны для зубов, а есть и такие, которые и вовсе приносят им вред, причем указанные овощи опасны в независимости от того, каким образом они приготовлены.
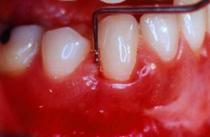
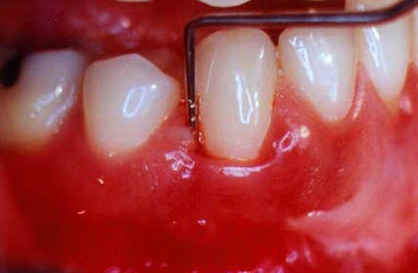
Пародонтит – воспалительное заболевание тканей пародонта. При пародонтите образуются зубодесневые карманы, в которых скапливаются бактерии. Развитие заболевания ведет к расшатыванию зубов и дальнейшему их выпадению.
У многих когда-нибудь возникало ощущение, что десна опухла. Ощущение не самое приятное. Боли при этом может не быть никакой, но вот это явление может быть заметен окружающим.
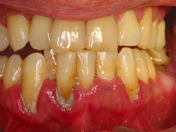
Воспалившиеся десны не доставляют человеку практически никакого дискомфорта, поэтому ранняя стадия заболевания проходит незаметно. Факторы, влияющие на возникновение воспалительного процесса, могут быть самые разнообразные. Давайте поподробнее на них остановимся.
Очень неприятным и болезненным явлением есть нарыв на десне. Помимо сильной боли происходит еще и интоксикация организма. В процессе ткани десны уничтожаются, в самой десне образуются полости, заполненные гноем.
Довольно часто пациенты путают такие термины как пародонтоз и пародонтит. Да, действительно названия очень похожи, но заболевания совершенно разные.