Гиперплазия десен и эмали зубов
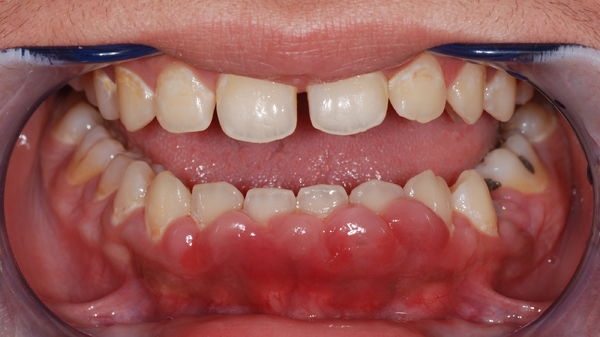
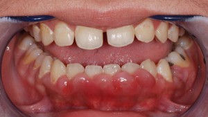
Гиперплазия десен представляет собой чрезмерное разрастание десны, которая если не предпринимать мер, может полностью покрыть зубы и сделает невозможным пережевывание пищи.
Гиперплазия десен представляет собой чрезмерное разрастание десны, которая если не предпринимать мер, может полностью покрыть зубы и сделает невозможным пережевывание пищи.
К большому сожалению далеко не все люди обращаются к стоматологу при первых признаках того или иного заболевания.
Человек начинает терять зубы в пожилом возрасте. Так же зубы выпадают из-за различных стоматологических заболеваний по причине несвоевременного обращения к стоматологу.
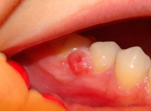
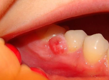
Киста на десне не редкое явление. Она возникает в результате механического повреждения или как следствие неправильного лечения.
Киста на десне не редкое явление, причем страдают от нее люди всех возрастов. Киста очень коварна. На начальном этапе развития она не дает о себе знать.
Свищ на десне представляет собой образование на десне, возникшее в результате осложнения. Формируется свищевой ход у верхушки зуба, но при запущенной стадии может формироваться в мягких тканях лица.
Одним из опаснейших стоматологических заболеваний считается свищ на десне. Причину его возникновения удается установить не сразу, а его лечение занимает длительное время.
Рак десны составляет около 8% от числа онкологичеких заболеваний, связанных с ротовой полостью. Чаще всего заболевание возникает на нижней челюсти у пожилых людей, часто страдающих различными проблемами с деснами.
Рак десны зачастую диагностируют у людей старшего возраста, которые до этого часто страдали болезнями десен.
Десна нуждаются в заботе точно так же как и зубы, поэтому следить за ними нужно так же внимательно. Любое повреждение десен может повлечь за собой возникновение абсцесса или флюса.