Архивы за месяц "Март 2015"

Чувствительность зубов

Чувствительность зубов

Гиперестелия — это высокая чувствительность зубов к пище разных температур, кислим или сладким продуктам, а так же к механическим воздействиям. Такое явление встречается не редко и диагностируется практически у половины жителей нашей страны.

Read More →

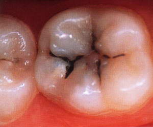
Кариес и его степени развития

Сумы Стоматолог

Сегодня вряд ли встретишь человека, который не знал что такое кариес. Однако, при его возникновении не все вовремя обращаются к врачу, а идут уже когда невтерпеж. Рассмотрим стадии развития кариеса.
Степени развития кариеса разделяют на:

Read More →

Киста зубного корня

Киста зубного корня

Киста возникает как реакция организма на попадание инфекции. Киста выглядит как капсула, содержимым которой являются бактерии и клетки эпителия. блокирующая распространение инфекции .

Read More →

Кариес зубов. Причины заболевания

Кариес зубов. Причины заболевания

Самой распространенной стоматологической болезнью считается кариес. Ему подвержено большинство людей всех возрастов. Кариес разрушает зубные ткани и если вовремя не обратиться к стоматологу, то инфекция проникает в пульпу зуба и заболевание переходит в пульпит.

Read More →