Симптомы и причины пародонтоза
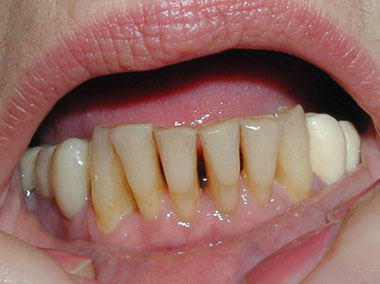
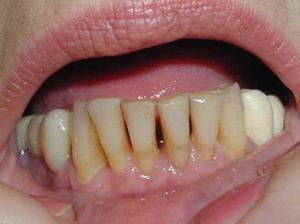
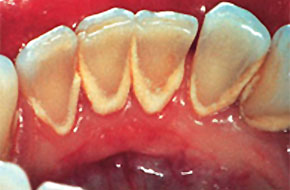
Пародонтоз – это системное поражение тканей пародонта (околозубных тканей). Причины возникновения недуга, так же как и у других болезней могут быть самыми разнообразными.
Пародонтоз – это системное поражение тканей пародонта (околозубных тканей). Причины возникновения недуга, так же как и у других болезней могут быть самыми разнообразными.
Зубы мудрости получили свое название благодаря тому, что прорезываются позже всех – в более сознательном возрасте. Из-за этого они доставляют массу проблем.
Зубной камень – это затвердевший зубной налет. Он не только портит внешний вид зубов, но может стать причиной заболевания десен и зубов.
Зубная боль всегда настигает нас неожиданно и в самый неподходящий момент. Мы начинаем искать любые средства, чтобы снизить боль. Хорошо, если есть возможность быстро обратиться к врачу, но часто такой возможности нет.
Гиперстезия – это ничто иное как повышенная чувствительность зубов. Возникает она по разным причинам: от механических факторов, до общего состояния оргапнизма. При гиперстезии зуб начинает болеть при употреблении горячей или холодной, кислой или сладкой пищи.
По причине того, что зубы мудрости расположены так, что провести их лечение очень трудно, их часто удаляют.
Плохая гигиена или ее отсутствие ведет к тому, что на зубах скапливается зубной налет. Со временем налет затвердевает и превращается в зубной камень. Образовавшийся зубной камень может доставить немало проблем.
Одной из причин возникновения кариеса и проблем с деснами является зубной камень. Он является идеальной средой для развития болезнетворных микроорганизмов, и если его не удалить вовремя, то возникновение проблем неизбежно.
Возникает патологическая стираемость зубов по разным причинам. К таким причинам относятся: гормональные сбои, нарушение обмена веществ, аномалии прикуса, недостаточная минерализация слоя эмали.
Пульпитом называют воспаление мягких тканей зубов. При пульпите возникают невыносимые боли при попадании на зуб холодной или горячей пищи.