Коронки та їх види. Коронки в Сумах
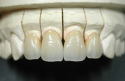
Коронкою називається штучно виготовлена верхня частина зуба. Основна функція коронки — це відновлення функцій зуба. Крім цього коронка відновлює форму і зовнішній вигляд, надаючи зубу естетичну привабливість. Якщо пошкодження зуба досить сильні, то коронка попередить подальше його руйнування. Коронки так само застосовуються і в імплантації зубів.
Існує три види коронок: металеві, металокерамічні і безметалеві.








