Архивы за месяц "Октябрь 2013"

Люминиры. Установить люминиры в Сумах

Люминиры

Современный пациент стоматологической клиники становится все более информированным. Этому способствует масса информации в интернете. И уже от самого пациента можно услышать вопрос: «Что лучше виниры или люминиры?» Давайте попробуем разобраться в чем разница.

Read More →

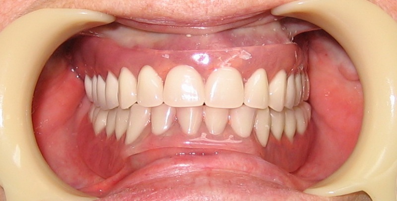
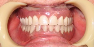
Показания к установке виниров. Установить виниры в Сумах

Установка виниров в Сумах преобретает все большую популярность. Это надежный и эффективный способ исправить эстетические дефекты. Виниры выполняют сразу две функции: защищают зубы от внешнего воздействия и придают зубам косметически идеальный вид.

Read More →

Реставрация зубов в г. Сумы

Реставрация зубов

 

Художественная реставрация зубов — это настоящее искусство. Реставрируя зуб, стоматолог, словно скульптор, воссоздает утраченную форму. Художественная реставрация в г. Сумы призвана восстановить форму зубов, восстановить цвет, изменить положение зуба, скрыть щель между зубами.

Read More →

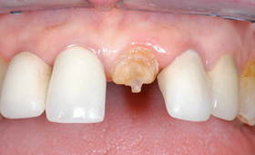
Зубные штифты

штифты

Штифты устанавливаются в случае разрушения коронковой части зуба на половину. Благодаря зубным штифтам человек имеет возможность восстановить функции здорового зуба даже когда зуб сильно разрушен. Восстанавливаются жевательные функции. Появляется возможность разнообразить свой рацион грубой пищей.

Read More →

Восстановление зубов. Восстановление зубов в г. Сумы

Восстановление зубов

 

Словосочетание «восстановление зуба» рисует в нашем сознании какой-то остаток зуба из которого нужно сделать полноценный зуб. Зачастую так и бывает. Очень часто пациенты приходят к стоматологу с довольно запущенными зубами.

Read More →

Виниры в Сумах. Винирование в г. Сумы

Современная эстетическая стоматология обладает различными методиками и инструментами придания Вашей улыбке безупречного внешнего вида. Одним из таких инструментов в стоматологии является винирование.

Read More →

Бюгельные протезы. Установка бюгельных протезов в Сумах

Бюгельные протезы

 

Протезы дугообразной формы называют бюгельными. Благодаря дуге очень надежно удерживаются все элементы протеза. Такая конструкция и является преимуществом перед обычными линейными протезами.

Read More →

Применение лазера в стоматологии. Лазерная стоматология в г. Сумы

Применение лазера в стоматологии

 

Наша клиника является ярким представителем сумской лазерной стоматологии. Благодаря этому мы можем предложить широкий спектр безболезненных процедур эстетического и лечебного характера.

Какими же уникальными свойствами обладает стоматологический лазер и почему следует отдать предпочтение именно ему?

Read More →