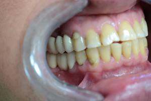
Вихідна ситуація. Необхідно відновити жувальну ефективність і естетику.
Бічні ділянки були реабілітовані металокерамічними коронками. Зверніть увагу на прилягання в пришеечной області, воно ідеальне, цього можна досягти тільки дотримуючись правил і чітких вказівок доктора. Якщо хочете таке ж результату – не поспішайте, дотримуйтесь чіткого плану лікування. Робота доктора складається з тисячі нюансів, нехтування і поспіх не дадуть бажаних результатів.
Верхні зуби були обточені під систему COMPONEER. Зверніть увагу на мінімальну обточування зубів. Обточування під E-Max набагато сильніше і неприємніше.
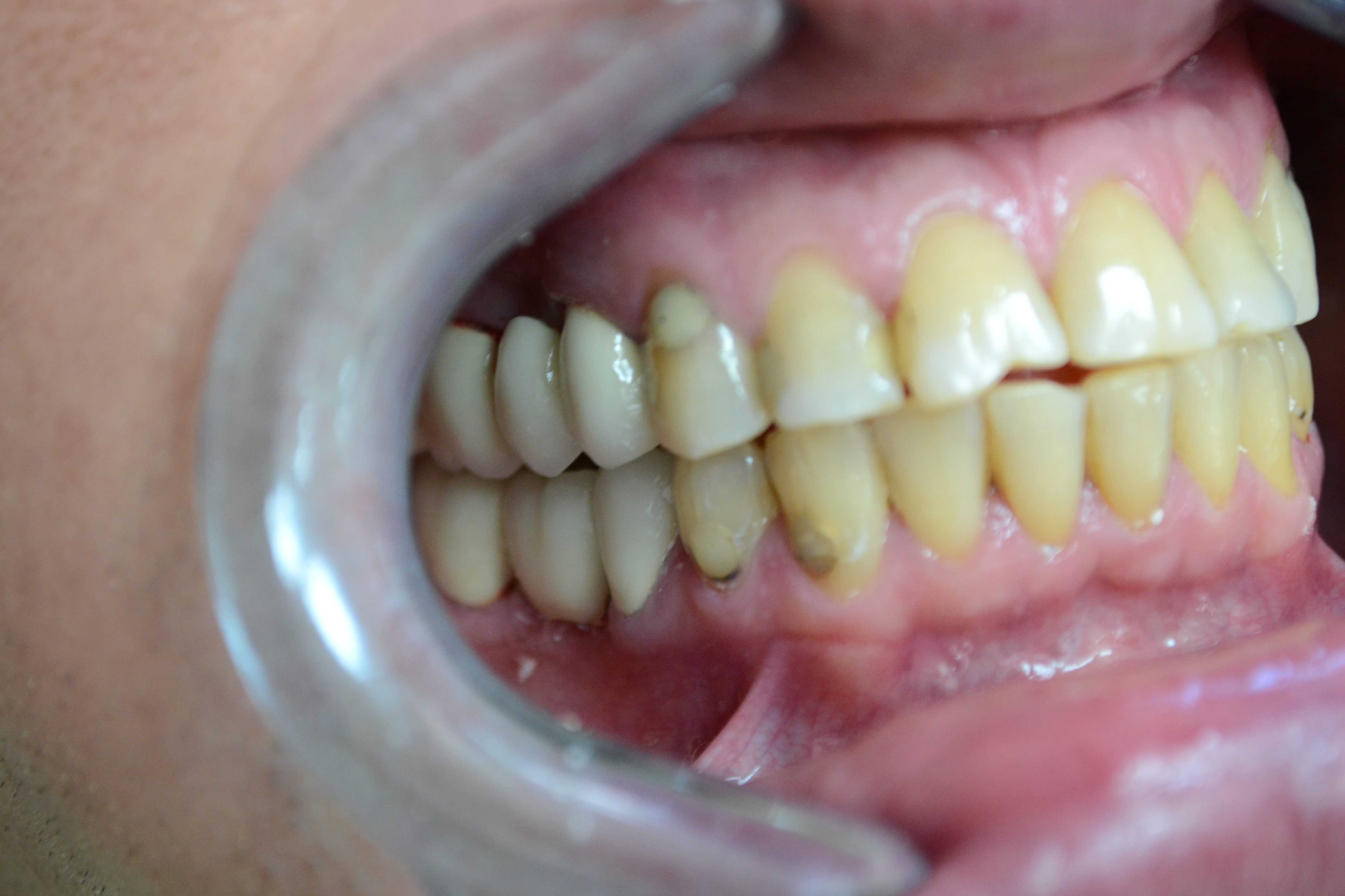
Готова робота. Компонуються зафіксовані, результат приголомшливий, живі зуби. Що ще треба?
Фіксація компонуються зайняла два години часу і два тижні на виготовлення, плюс одна година на фіксацію.
Всі задоволені і щасливі.
Через два тижні виконано остаточне контурірованіе ріжучих країв з урахуванням особливостей прикусу. Наступний етап – фронтальна область нижньої щелепи.



