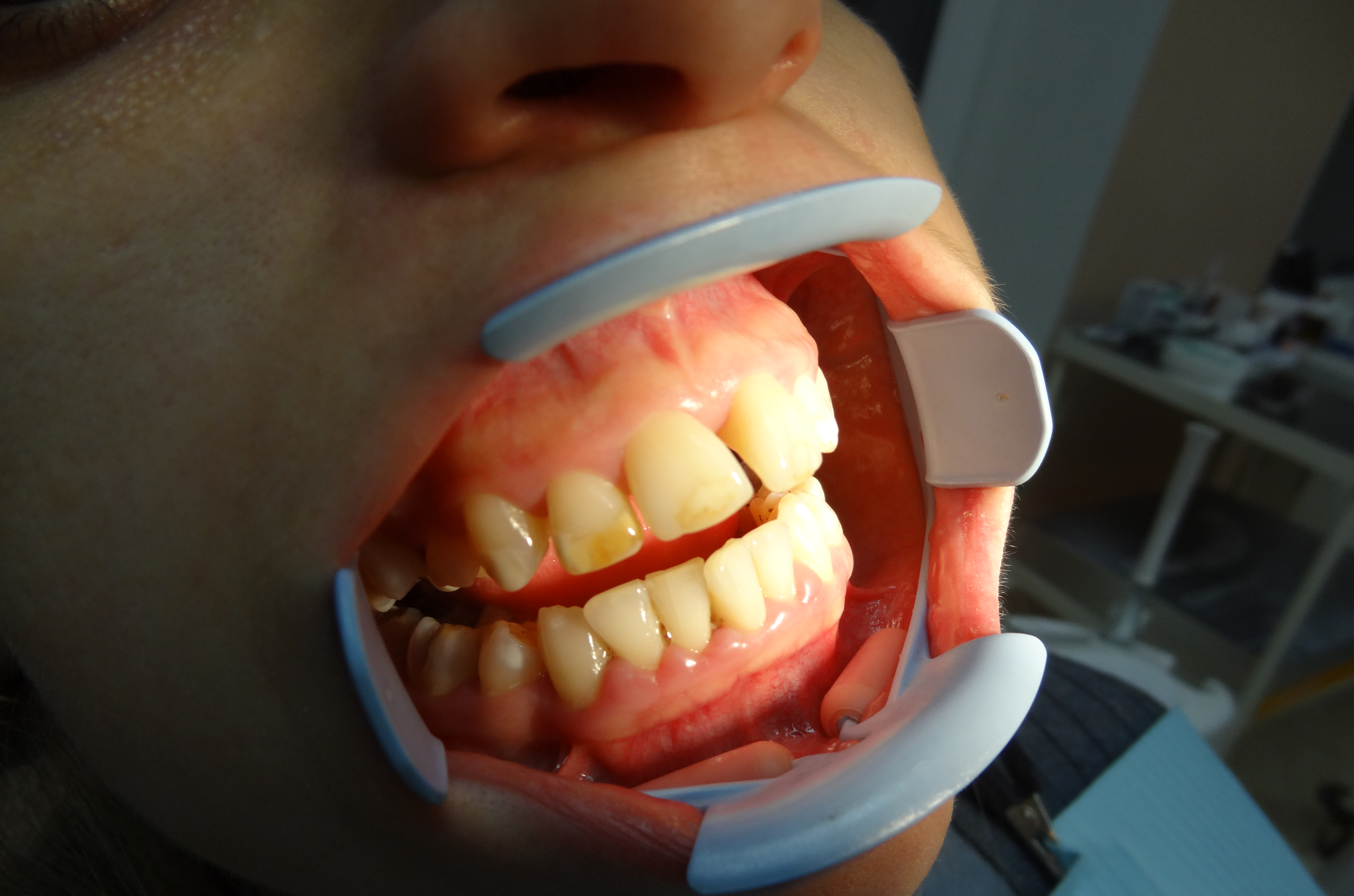
Вихідна ситуація. Великі зуби, наявність пігментних плям і сколів на 22 зубі.
В одній з Сумських клінік пацієнту було запропоновано депульпувати (видалити нерв) верхні 8 зубів, сильно обточити і накрити їх коронками з прес кераміки. Це звичайно здорово, на виході вийшов би непоганий естетичний результат, але навіщо в такому юному віці залишати людину без нервів на 8 зубах, це вже незворотній процес. На сьогодні в усьому світі стоматологія розвивається по шляху мінімального втручання і завдяки винаходам нових конструкцій і технологій не потрібно робити жертви заради краси, краса можливо і без таких великих жертв.
На безкоштовній консультації в нашій клініці пацієнтці було запропоновано ортодонтичне лікування (за допомогою брекет-систем) з подальшою ремініралізірующей терапією і реставрацією сколотого зуба, але пацієнтка не захотіла розтягувати лікування на два роки і попросила більш швидкий варіант.
Ми запропонували новинку 2012 року в стоматології – систему COMPONEER. У ході лікування всі зуби залишилися живими і не обточувалися взагалі.
На виході ми отримали непоганий естетичний результат, без шкідливого втручання. Пацієнтка тепер не соромиться посміхатися.
Що може бути прекрасніше щирою і відкритою усмішки?



