Перетворення посмішки за допомогою вінірів

Перетворення посмішки за допомогою вінірів

 

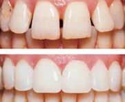
У світі величезна кількість людей, які страждають якими-небудь дефектами зубів. Люди з проблемами часто соромляться посміхатися. Таку проблему можна вирішити за допомогою вінірів. Поява вінірів пов’язана з Голлівудом. Вважається, що саме там вони були винайдені щоб зірки могли бути впевненими у своїй усмішці.

Вініри – тонке покриття з кераміки, нанесене на поверхню зуба. Це швидкий і надійний спосіб зробити зуби красивими.
Вініри можуть бути нанесені при першому ж відвідуванні. Такі вініри називаються композитними прямого виготовлення. Термін служби їх складе три роки.

Вініри ж непрямого виготовлення виробляються в лабораторних умовах на основі зліпків. Такі вініри довговічні і виготовляються з кераміки.

Найсучасніший вид вінірів – люмініри. Вони відрізняються мінімальною товщиною пластин (всього 0.3 мм). Завдяки цій особливості обточування зубів не потрібно.

Переваги вінірів перед коронками або пломбами очевидні. Застосування вінірів не вимагає видалення нерва (зуб залишається живим). Вініри не заподіють шкоди організму – вони повністю біосумісні. Вініри прослужать своєму власникові більше 10 років.

Дізнатися вартість вінірів в Сумах можна зателефонувавши нам або записавшись на безкоштовну консультацію.

 

Leave a reply

Your email address will not be published.

You may use these HTML tags and attributes:

<a href="" title=""> <abbr title=""> <acronym title=""> <b> <blockquote cite=""> <cite> <code> <del datetime=""> <em> <i> <q cite=""> <strike> <strong>

This site uses Akismet to reduce spam. Learn how your comment data is processed.