Monthly archives "April 2014"
Реставрація 6 передніх зубів c використанням фотополімеру Megafill (Німеччина)
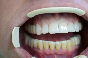
Металокераміка + Компоніри
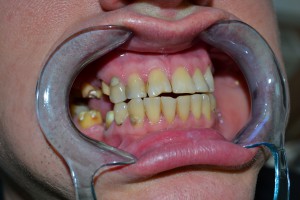
Металокерамічний протез зубів
Люмініри без обточування зубів
Повною новини ми розповімо повну картину проведеного лікування.
Відбілювання зубів, діоксид цирконію
Кулеподібна система фіксації
Реставрація зубів фотополімером
Компоніри
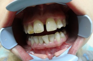
Вихідна ситуація. Великі зуби, наявність пігментних плям і сколів на 22 зубі.



















