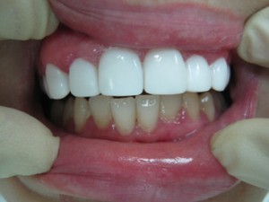
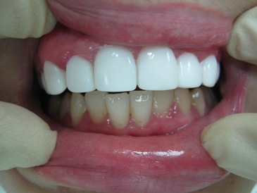
Мікропротезування керамічною вкладкою
Пломбування зубів поступово відходить на другий план і все більше для того, щоб закрити дірку в зубі використовуються керамічні вкладки. Це так зване мікропротезуванння зуба. Керамічні вкладки, так само як і пломби, покликані відтворювати цілісність зуба, у разі його поразки карієсом. Однак за допомогою керамічних вкладок вдається отримати набагато кращий результат і все завдяки особливим властивостям вкладок.








