Причини розвитку неправильного прикусу
Причин розвитку неправильного прикусу у дітей досить багато. Спробуємо в них розібратися.
Причин розвитку неправильного прикусу у дітей досить багато. Спробуємо в них розібратися.
Вінірування – процедура реставрації зубів із застосуванням вінірів. Вінір – це найтонша керамічна пластина (до 0,5 мм).
На це питання відповісти однозначно не можна. Буде не правильно говорити, що одна система краще іншої. В рекламних роликах ми бачимо як та чи інша рекламована відбілююча система доводить зуби до ідеальної білизни, але що підходить одному, не підійде іншому. Практика показує, що навіть у одного пацієнта одні зуби можуть відбілитися сильніше, ніж інші.
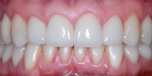
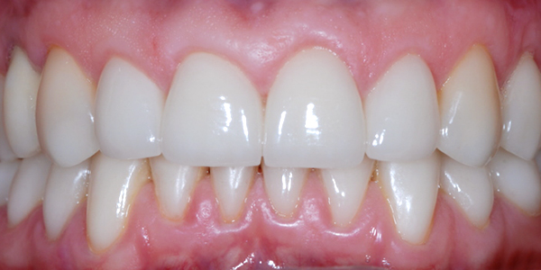
Важливою складовою зовнішності людини є гарна посмішка. Але далеко не кожен може похвалитися красивими зубами.
Люмініри – це тонкі керамічні пластини. Їх товщину можна порівняти з товщиною контактної лінзи (0,2 мм). Завдяки люмінірам стало можливою швидка зміна форми зубів, усунення щілин, сколів, тріщин, зміна кольору зубів.
Красива посмішка завжди була природною прикрасою, вона допомагає у спілкуванні з людьми. Господарю красивої посмішки легше знайти спільну мову з будь-ким завдяки впевненості в собі.
Найпоширеніша причина виникнення захворювань пародонту – це не належна гігієна порожнини рота. У важко доступних місцях, таких як міжзубні проміжки, зубна щітка не може впоратися з нальотом.
Найпоширенішим захворюванням в порожнині рота є карієс. Після прорізання зуби ще не повністю мінералізовані і потрібно декілька років для зміцнення емалі. У цей період не слід нехтувати правилами догляду за порожниною рота. На ще незміцнілу емаль впливають мікроорганізми. Виділяючи кислоту, вони руйнують емаль і розвивають карієс. Молочні зуби важче пломбуються через маленький розмір і пломби фіксуються гірше. Проте були розроблені матеріали спеціально для молочних зубів. Вони виділяють фтор, тим самим зміцнюючи зуби.
Нейлоновий протез – це один з різновидів знімного протезування. Виготовляється такий протез з нейлону.
Самою прогресивною технологією поповнення втрачених зубів на сьогоднішній день є імплантація і техніка імплантації вдосконалюється з кожним днем. Інновації спрямовані на уникнення можливості зараження і скорочення терміну лікування. З цими умовами добре справляється лазер.